PRESENTACIÓN DE CASO
Fibroma de ovario
Ovary fibroma
Dra. María del Pilar Estrada Pérez*, Dra. Odelcis Kellys Mastrona**, Dra. Yunieska Puig Sánchez***
*Especialista de Primer Grado en Imaginología. Máster en Urgencias Médicas. Profesora Asistente. **Especialista de Primer Grado en Medicina General Integral. ***Especialista de Primer Grado en Medicina General Integral. Departamento de Imaginología. Hospital General Docente “Dr. Ernesto Guevara de la Serna”. Las Tunas, Cuba. Correspondencia a: Dra. María del Pilar Estrada Pérez, correo electrónico: mpilar@ltu.sld.cu.
RESUMEN
El fibroma de ovario es un tumor sólido de muy baja frecuencia, apenas entre 1 y 4 % de todas las neoplasias benignas en esa gónada. Puede ser asintomático o con escasas manifestaciones, al tiempo que se le ha confundido con lesiones malignas. Se presenta el caso de una mujer postmenopáusica, con un aumento de volumen en la parte baja y derecha del abdomen; en la fosa iliaca derecha se palpó una masa tumoral de unos 10 cm de diámetro, inmóvil y dura. Al tacto vaginal se ubicó el aumento de volumen, a predominio sólido, en el anejo derecho. En el ultrasonido se informó un ligero desplazamiento de la vejiga. La tomografía abdominal reportó que la lesión comprimía y desplazaba el colon hacia arriba y a la izquierda; también, a la vejiga. La paciente fue intervenida quirúrgicamente y la biopsia informó un fibroma de ovario derecho, además de otros trastornos en el útero y el anejo de ese lado.
Palabras clave: FIBROMA DE OVARIO; TUMOR BENIGNO; ULTRASONIDO DIAGNÓSTICO; TOMOGRAFÍA AXIAL COMPUTADORIZADA.
Descriptores: FIBROMA; NEOPLASIAS; DIAGNÓSTICO POR ULTRASONIDO; TOMOGRAFÍA COMPUTARIZADA ESPIRAL.
SUMMARY
The ovary fibroma is a solid tumor of very low frequency, scarcely from 1 to 4 % of all benign neoplasms in that gonad. The condition can be asymptomatic or with scarce manifestations, at the time it has been confused with malignant lesions. This is the case of a postmenopausal woman with an increase of volume of her lower right abdomen; at palpation, an immotile and hard tumoral mass of about 10 cm in diameter was found. To the vaginal touch, the volume increase, predominantly solid, was located in the right annex. The ultrasound reported a bladder slightly out of its place. The abdominal computed tomography showed that the colon and the bladder were compressed and moved up to the left by the lesion. The patient underwent surgery and the biopsy informed an ovary fibroma, as well as other disorders of that side of the uterus and the ovary.
Key words: OVARY FIBROMA; BENIGN TUMOR; DIAGNOSTIC ULTRASOUND; COMPUTED TOMOGRAPHY.
Descriptors: FIBROMA; NEOPLASMS; ULTRASONOGRAPHY; TOMOGRAPHY, SPIRAL COMPUTED.
INTRODUCCIÓN
Los fibromas de ovario representan apenas del 1 al 4 % de todos los tumores ováricos benignos, y a pesar de ello son reconocidos como el tumor sólido benigno más frecuente de la gónada femenina, con algunas variantes histológicas. (1, 2) A veces es asintomático, por lo que puede ser un hallazgo fortuito, (3) o presentarse con molestias abdominales y dolor, como las manifestaciones más frecuentes. (1)
En ocasiones se acompaña de ascitis, cuyo volumen se relaciona con el tamaño del tumor; (4) la triada de masa ovárica sólida, ascitis y derrame pleural es reconocida como síndrome de Meigs. (1, 3) La presencia de líquido en cavidad puede llevar a confundirlo con una lesión maligna, y conducir a terapias agresivas. (1)
La cirugía es el tratamiento de elección, que conduce al diagnóstico histológico definitivo y suele resolver todo el cuadro. (4, 5)
A partir de su baja frecuencia, y de las dificultades para establecer un diagnóstico oportuno, se presenta el caso de una mujer postmenopáusica con esta afección, con el objetivo de divulgar las características de este tumor benigno.
PRESENTACIÓN DEL CASO
Una paciente femenina de 73 años de edad, raza blanca, procedencia urbana, con antecedentes de hipertensión arterial hace 20 años, para la que lleva tratamiento, acudió al cuerpo de guardia del Hospital General Docente “Dr. Ernesto Guevara de la Serna” en Las Tunas, por referir un aumento de volumen en la parte baja y derecha del abdomen, acompañado de dolor y calambres en ambos miembros inferiores. Se quejaba, además, de sensación de plenitud gástrica, náuseas y, en ocasiones, reflujo acuoso, caliente y ácido.
Se recogió al interrogatorio que la menarquia fue a los 13 años y la menopausia, a los 49 años. Sus primeras relaciones sexuales ocurrieron a los 15 años, mientras que la historia obstétrica era de dos embarazos e igual número de partos, sin abortos.
En el examen físico se apreciaron mucosas hipocoloreadas y ligero edema en ambos miembros inferiores. El abdomen, globuloso, era doloroso a la palpación superficial y profunda en hipogastrio y fosa iliaca derecha, donde se palpó una masa tumoral de unos 10 cm de diámetro, inmóvil y dura. En el tacto vaginal se reportó el útero atrófico y el fondo de saco libre; se constató el aumento de volumen, móvil, duro, doloroso, al parecer definido en el anejo derecho.
Los datos positivos informados en los exámenes imaginológicos fueron:
- Ultrasonido abdominal y ginecológico: vejiga de buena capacidad, ligeramente desplazada a la izquierda por masa tumoral. A nivel de la fosa iliaca derecha se observa una masa tumoral heterogénea a predominio sólido, que mide 91 x 83 mm, con áreas de necrosis central y otra imagen de baja ecogenicidad de 69 x 39 mm. Las lesiones descritas por su localización hicieron pensar que se trataba de una tumoración del ovario derecho. No se visualizó el ovario izquierdo.
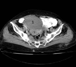
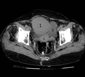
- Tomografía axial computadorizada (TAC) abdominal con doble contraste: en cortes a 5 mm se observó una masa tumoral a nivel de la fosa iliaca derecha que mide 89 x 78 mm, con densidades variables a predominio de las del rango de 50 a 70 UH y en el centro de 21 a 32 UH (imagen 1). La lesión captó el contraste intensamente. Comprimía y desplazaba el colon hacia arriba y a la izquierda, también, a la vejiga. Teniendo en cuenta las características de la lesión, se considera que se trata de un tumor sólido del ovario derecho.
La paciente fue intervenida quirúrgicamente y se realizó una biopsia de útero y anejos, que informó un leomioma subseroso, atrofia quística del endometrio, un fibroma de ovario derecho con compromiso vascular y un quiste simple del ovario.
DISCUSIÓN
Debido a que se trata de un tumor de crecimiento extremadamente lento, (4) cabría esperar el desarrollo clínicamente asintomático o con manifestaciones leves para el fibroma de ovario; se han reportado las molestias abdominales y el dolor, como predominantes en una serie de casos. (5) La localización en el anejo derecho coincide con trabajos previos, en los que ha llegado a ser hasta cerca de las dos terceras partes de las pacientes atendidas por este diagnóstico. (4, 5)
La misma razón pudiera relacionarse con la aparición en una mujer de avanzada edad, si bien se reconoce que puede aparecer prácticamente en cualquier etapa de la vida, desde la adolescencia, hasta más allá de los 80 años. (3, 6)
Como en el caso aquí presentado, el fibroma de ovario puede acompañar a otras lesiones. Aunque con muy baja frecuencia, se ha encontrado en mujeres afectadas por metástasis en los ovarios. (6) También, acompañando la gestación, sea normal o ectópico. (2, 4) Puede producirse la torsión del tumor, lo que exige una atención de urgencia, (5) así como anemia hemolítica severa. (1)
IMAGEN 1. En las tomografías realizadas, tanto simple (izquierda) como contrastada (derecha), es posible observar la gran masa tumoral (1), que desplaza al útero (2) y a la vejiga (3)
|
|
El diagnóstico diferencial incluye un conjunto de afecciones ováricas poco comunes, sin origen tumoral (lesiones inflamatorias, edema y fibromatosis), aunque en ocasiones se les confunde con el cáncer: (7) El angioleiomioma puede simular clínica e imaginológicamente un fibroma de ovario. (8)
Ello hace que ocupen un lugar muy importante los exámenes complementarios, particularmente los estudios imaginológicos, si bien los marcadores de laboratorio, como el antígeno Ca-125 y la proteína C reactiva, pueden señalar algunas complicaciones. (1) Por ultrasonido puede ser difícil distinguir el fibroma ovárico de los miomas uterinos, debido a la naturaleza sólida del primero. (1, 5, 9) La TAC ha sido empleada exitosamente y permite describir la composición de la lesión, habitualmente como una estructura sólida y homogénea. (3)
Casi todos los casos de fibroma de ovario resuelven tras la exéresis quirúrgica. (5) Se ha empleado exitosamente la cirugía laparoscópica, que reduce la estadía hospitalaria y favorece la rápida reinserción social. (1, 5)
Frente a una paciente con dolor abdominal y masa palpable en una fosa iliaca, debe tenerse en cuenta la posibilidad de un fibroma de ovario, junto a la diversidad y mayor frecuencia de diagnósticos clínicos, quirúrgicos, ginecológicos o de otra naturaleza.
REFERENCIAS BIBLIOGRÁFICAS:
1. Macciò A, Madeddu C, Kotsonis P, Pietrangeli M, Paoletti AM. Large twisted ovarian fibroma associated with Meigs’ syndrome, abdominal pain and severe anemia treated by laparoscopic surgery. BMC Surgery [revista en internet]. 2014 [citado 6 de enero 2016]; 14(1): 38. Disponible en: http://www.biomedcentral.com/1471-2482/14/38.
2. Yan-Fang L, Jin-Cheng, Jian-Bo R, Dong-Ping K, Ling-Mei W, Can C, Jun-Fa X. Ovarian sclerosing stromal tumor in a young woman with ectopic pregnancy: clinical, pathological, and immunohistochemical studies. Int J Clin Exp Pathol [revista en internet]. 2014 [citado 6 de enero 2016]; 7(1): 456-459. Disponible en: http://www.ncbi.nlm.nih.gov/pmc/articles/PMC3885506/.
3. Yen P, Khong K, Lamba R, Corwin MT, Gerscovich EO. Ovarian Fibromas and Fibrothecomas. Sonographic Correlation With Computed Tomography and Magnetic Resonance Imaging: A 5-Year Single-Institution Experience. J Ultrasound Med [revista en internet]. 2013 [citado 6 de enero 2015]; 32(1): 13–18. Disponible en: http://www.jultrasoundmed.org/content/32/1/13.long.
4. Lazo Pérez M, Pérez Bell CC, Pérez García M, Donatién Boris S, De Dios Perera R. Fibroma de ovario en una gestante joven. MEDISAN [revista en internet]. 2015 [citado 6 de enero 2016]; 19(2): 261-65. Disponible en: http://scielo.sld.cu/scielo.php?script=sci_arttext&pid=S1029-30192015000200016&lng=es&nrm=iso&tlng=es.
5. Chang Eop Son, Joong Sub Choi, Jung Hun Lee, Seung Wook Jeon, Jin Hwa Hong, Jong Woon Bae, Laparoscopic Surgical Management and Clinical Characteristics of Ovarian Fibromas. Journal of the Society of Laparoendoscopic Surgeons [revista en internet]. 2011 [citado 6 de enero 2016]; 15(1): 16–20. Disponible en: http://www.ncbi.nlm.nih.gov/pmc/articles/PMC3134689/
6. Ngamcherttakul V, Ruengkhachorn I. Ovarian Metastasis and other Ovarian Neoplasms in Women with Cervical Cancer Stage IA-IIA. Asian Pacific J Cancer Prev [revista en internet]. 2012 [citado 6 de enero 2015]; 13(9): 4525-4529. Disponible en: http://www.apocpcontrol.org/paper_file/issue_abs/Volume13_No9/4525-9%208.20%20Vijit%20Ngamcherttakul.pdf.
7. Lalwani N, Patel S, Ha KY, Shanbhogue AK, Nagar AM, Hintapalli KN, et al. Miscellaneous tumour-like lesions of the ovary: cross-sectional imaging review. The British Journal of Radiology [revista en internet]. 2012 [citado 6 de enero 2016]; 85(1013): 477–486. Disponible en: http://www.birpublications.org/doi/abs/10.1259/bjr/92819127?url_ver=Z39.88-2003&rfr_id=ori%3Arid%3Acrossref.org&rfr_dat=cr_pub%3Dpubmed&
8. Lee SJ, Choi YS, Park KK. Ovarian angioleiomyoma: a case report. Int J Clin Exp Pathol [revista en internet]. 2014 [citado 6 de enero 2016]; 7(11): 8235-39. Disponible en: http://www.ncbi.nlm.nih.gov/pmc/articles/PMC4270608/.
9. Ghosh B, Mckeown B, Gumma A. Lipoleiomyoma. BMJ Case Reports [revista en internet]. 2011 [citado 6 de enero 2016]; doi:10.1136/bcr.08.2011.4577. Disponible en: http://www.ncbi.nlm.nih.gov/pmc/articles/PMC3176393/.
Recibido: 7 de noviembre de 2015
Aprobado: 4 de diciembre de 2015
María del Pilar Estrada Pérez, Especialista de Primer Grado en Imaginología. Máster en Urgencias Médicas. Profesora Asistente. Correo electrónico: mpilar@ltu.sld.cu.
Copyright (c) 2015 Revista Electrónica Dr. Zoilo E. Marinello Vidaurreta

Este obra está bajo una licencia de Creative Commons Reconocimiento 4.0 Internacional.









